Aiosyn, Radboud Universitair Medisch Centrum en Pathologie-DNA krijgen 1.300.000 euro EFRO-subsidie voor de ontwikkeling van AI-oplossingen voor kankerdiagnostiek
Aiosyn, Radboud Universitair Medisch Centrum en Pathologie-DNA krijgen 1.300.000 euro EFRO-subsidie voor de ontwikkeling van AI-oplossingen voor kankerdiagnostiek
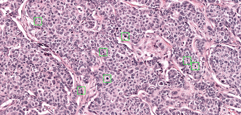
NIJMEGEN, Nederland--(BUSINESS WIRE)--Aiosyn, een medisch softwarebedrijf dat AI-aangedreven pathologieoplossingen ontwikkelt, heeft een EFRO-OOST-subsidie van 1.300.000 euro gekregen, samen met het Radboud Universitair Medisch Centrum en Pathologie-DNA, om de ontwikkeling van AI-technologie voor borst- en huidkankerdiagnostiek te versnellen. Met het AIRAT-project zullen de drie organisaties hun krachten bundelen om CE-gemarkeerde deep learning-algoritmen voor automatische mitosedetectie op de markt te brengen.
Wouter Bulten, Chief innovation officer van Aiosyn: "Bij Aiosyn erkennen we de cruciale rol die pathologen spelen in de diagnostiek. Door nauwe samenwerking stelt deze EFRO-subsidie ons in staat om AI-tools verder te ontwikkelen die pathologen ondersteunen en de pathologiepraktijk verbeteren."
Deze bekendmaking is officieel geldend in de originele brontaal. Vertalingen zijn slechts als leeshulp bedoeld en moeten worden vergeleken met de tekst in de brontaal, die als enige rechtsgeldig is.
Contacts
Anna Correas, marketing en communicatiespecialist bij Aiosyn
anna.correas@aiosyn.com

