Aiosyn, le centre médical de l'université Radboud et Pathologie-DNA décrochent une subvention EFRO d'un montant de 1,3 million d'euros pour développer des solutions de diagnostic du cancer basées sur l'intelligence artificielle
Aiosyn, le centre médical de l'université Radboud et Pathologie-DNA décrochent une subvention EFRO d'un montant de 1,3 million d'euros pour développer des solutions de diagnostic du cancer basées sur l'intelligence artificielle
NIJMEGEN, Pays-Bas--(BUSINESS WIRE)--Aiosyn, société de logiciels médicaux spécialisée dans le développement de solutions de pathologie alimentées par l'IA, s'est vu attribuer une subvention EFRO-OOST de 1,3 million d'euros, au même titre que le centre médical de l'université Radboud et Pathologie-DNA, en vue d'accélérer le développement d'une technologie d'IA destinée au diagnostic du cancer du sein et de la peau. Dans le cadre du projet AIRAT, les trois organisations conjugueront leurs forces pour lancer sur le marché des algorithmes d'apprentissage profond certifiés CE pour la détection automatisée des mitoses.
Wouter Bulten, responsable de l'innovation chez Aiosyn a déclaré : "Chez Aiosyn, nous considérons que les pathologistes jouent un rôle essentiel dans le diagnostic. Dans le cadre d'une étroite collaboration, cette subvention EFRO va nous permettre de poursuivre le développement d'outils basés sur l'IA pour aider les pathologistes et améliorer la pratique de la pathologie."
Chaque année, près de 20 millions de patients se voient diagnostiquer un cancer1. On s'attend malheureusement à ce que l'incidence augmente au cours des prochaines décennies, avec un fardeau mondial estimé à près de 30 millions de nouveaux cas de cancer par an d'ici à 20402. Ce constat renforce la nécessité de disposer de nouveaux outils afin d'améliorer l'efficacité et la précision du diagnostic et du traitement de la maladie.
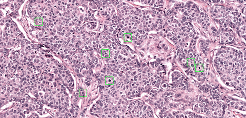
Dans le cadre de ce projet, Aiosyn continuera à développer et à valider des algorithmes alimentés par l'IA pour le diagnostic du cancer du sein et de la peau. Parmi ces algorithmes figure la solution d'Aiosyn pour la détection automatisée des mitoses. La quantification des figures mitotiques au sein des tissus cancéreux est un élément clé du diagnostic de plusieurs types de tumeurs. En exploitant les biomarqueurs numériques basés sur l'IA, les pathologistes seront en mesure de prédire avec plus de précision la croissance des tumeurs et de définir le pronostic des patients. Cela réduira la variabilité des observateurs, améliorera la précision et la cohérence des diagnostics et, en définitive, améliorera la situation des patients.
Jeroen van der Laak, professeur au centre médical de l'université Radboud et CSO d'Aiosyn : "Une fois que le problème à résoudre a été défini et que toutes les données nécessaires ont été collectées, le développement de l'IA pour la pathologie est concevable. Il est cependant difficile de collecter des données de haute qualité, et il l'est encore plus d'amener l'IA à un niveau suffisant pour créer une véritable valeur ajoutée pour le patient. Dans le cadre de notre projet AIRAT, nous allons nous attaquer à ces défis : rassembler des données multicentriques et faire évoluer l'IA développée vers un produit certifié, capable d'aider les pathologistes".
Les algorithmes d'Aiosyn seront entièrement intégrés dans les flux de travail de pathologie numérique existants tels que Sectra. Les solutions alimentées par l'IA auront pour objectif de réaliser des progrès majeurs dans l'évaluation et la gestion de la maladie des patients atteints de cancer dans le monde entier.
"Nous nous réjouissons de notre partenariat avec Aiosyn et Radboud UMC dans le cadre de ce projet", a déclaré Matthijs van Oosterhout, pour le compte de Pathologie-DNA, président de Pathologie-DNA B.V. "Ensemble, nous pourrons exploiter nos forces respectives pour développer des solutions d'IA qui amélioreront les résultats pour les patients et feront progresser le domaine de la pathologie". Cette collaboration illustre parfaitement la façon dont les start-ups et les entreprises établies peuvent travailler ensemble pour stimuler l'innovation."
À propos d'Aiosyn
Aiosyn est une société néerlandaise de logiciels médicaux qui se consacre au développement de solutions de pathologie alimentées par l'IA, lesquelles seront intégrées dans les flux de travail standard de la pathologie. L'équipe d'Aiosyn a été construite sur plus de 20 ans d'expérience de recherche dans le domaine de la pathologie et possède une solide expertise dans la pratique de la pathologie.
À propos du centre médical universitaire Radboud
Le centre médical universitaire Radboud est un centre médical universitaire pour les soins aux patients, la recherche et l’éducation, situé à Nimègue. Le centre médical universitaire Radboud s’efforce d’être à l’avant-garde de la santé et des soins de santé de demain. Nous sommes principalement axés sur la prévention, les soins de santé pertinents et réfléchis, la durabilité, l'intelligence artificielle et les systèmes orientés vers les données, les mécanismes moléculaires des maladies et les nouveaux traitements, ainsi que sur la formation des professionnels de demain.
À propos de Pathologie-DNA
Pathologie-DNA est le fruit d'une collaboration entre trois laboratoires de pathologie : Jeroen Bosch Ziekenhuis, situé à 's-Hertogenbosch, St. Antonius Ziekenhuis, situé à Nieuwegein et Rijnstate, situé à Arnhem. Pathologie-DNA est un partenaire en pathologie pour les médecins spécialistes, les médecins généralistes et les centres de diagnostic privés. Nous utilisons la pathologie numérique, ce qui nous permet d'offrir en permanence des diagnostics de haute qualité. La concertation entre collègues ainsi qu'avec les hôpitaux universitaires garantissent cette qualité.
Sources
1. World Cancer Day 2023: Close the care gap - PAHO/WHO | Pan American Health Organization
2. World Cancer Report: Cancer Research for Cancer Prevention (who.int)
Le texte du communiqué issu d’une traduction ne doit d’aucune manière être considéré comme officiel. La seule version du communiqué qui fasse foi est celle du communiqué dans sa langue d’origine. La traduction devra toujours être confrontée au texte source, qui fera jurisprudence.
Contacts
Anna Correas, Spécialiste du marketing et de la communication chez Aiosyn
anna.correas@aiosyn.com

