Ibex Medical Analytics Receives First FDA 510(k) Clearance
Ibex Medical Analytics Receives First FDA 510(k) Clearance
FDA clearance affirms Ibex’s position as a global leader in AI-powered cancer diagnostics
BOSTON--(BUSINESS WIRE)--Ibex Medical Analytics (Ibex), the leader in AI-powered cancer diagnostics, today announced that it has received U.S. Food and Drug Administration (FDA) 510(k) clearance for Ibex Prostate Detect, an in vitro diagnostic medical device that harnesses AI to generate heatmaps identifying small and rare missed prostatic cancers, acting as a safety net that assists pathologists in ensuring patients receive an accurate diagnosis.
"Prostate cancer is one of the most prevalent cancers worldwide, with an estimated one in eight men diagnosed in their lifetime. With the global incidence expected to double by 2040, accurate and timely diagnoses are more critical than ever. Advancements in AI-powered pathology can support pathologists in delivering precise and efficient diagnoses, ultimately improving patient outcomes,” shared Ibex scientific advisor Mahul B. Amin, MD, Vice President and Medical Director of Labcorp’s Hospital Systems Operating Division and Clinical Professor of Pathology and Laboratory Medicine at the University of Tennessee Health Science Center.
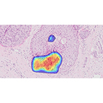
Ibex Prostate Detect is a software only device that analyzes scanned histopathology whole slide images (WSIs) from prostate core needle biopsies prepared from hematoxylin & eosin (H&E) stained formalin-fixed paraffin embedded tissue. The device is intended to identify tumors that may have been missed by the pathologist. If tissue suspicious for prostate cancer is identified, the system provides case- and slide-level alerts, and includes a heatmap directing the pathologist to areas likely to contain cancer.
In robust precision and clinical validation studies conducted at multiple US and European laboratories as part of the FDA clearance, the system demonstrated a 99.6% positive predictive value (PPV) for cancer heatmap accuracy, and identified a 13% rate of missed cancers in a cohort of consecutive patients initially diagnosed as benign. These missed cancer cases (false negatives) were subsequently verified by expert pathologists, confirming the product’s clinical utility and benefits compared with the current standard of care.1
“The FDA clearance marks a significant milestone in Ibex’s journey and exemplifies our dedication to developing clinically validated solutions that help improve patient health outcomes,” said Joseph Mossel, Chief Executive Officer at Ibex Medical Analytics. “This clearance affirms our commitment to the safety and efficacy of our AI solutions and strengthens our ability to provide cutting-edge innovation to pathologists, which ultimately benefit patients. We hope this accomplishment will bolster industry-wide confidence that AI-powered digital pathology is ready for widespread clinical adoption.”
As cancer incidence rises worldwide, increasing demand and diagnostic workloads are compounded by a global shortage of pathologists, whose jobs are becoming more complex with advancements in precision medicine. Ibex’s platform helps overcome these challenges by empowering pathologists with AI tools that enhance accuracy2-4 and streamline workflows to ensure that every patient receives an accurate and timely diagnosis, which is instrumental both in guiding treatment decisions and improving survival rates of patients with cancer.
Deployed globally in routine clinical use, the Ibex platform includes prostate, breast and gastric solutions that provide pathologists with robust AI-powered tools to support detection of cancer and other clinically relevant findings and improve case review workflows. The platform includes solutions that are CE-IVD certified (per IVDR framework) and registered with the UK MHRA, TGA in Australia and ANVISA in Brazil. Ibex Prostate Detect is FDA cleared and other solutions are Research Use Only (RUO) in the United States. Ibex's quality and security certifications include HITRUST, Cyber Essentials Plus, ISO 27001 and ISO 13485, among others. For more information about the Ibex platform, please visit: https://ibex-ai.com.
- Ibex precision and clinical validation studies submitted to the FDA (unpublished).
- Pantanowitz et al. Lancet Digital Health (2020) 2(8): e407-e416.
- Santa-Rosario et al. Journal of Pathology Informatics (2024), 15:100378.
- Lami et al. Pathology (2024), 56; 5:633-642
Ibex Prostate Detect is formerly known in the US as Galen Second Read.
About Ibex Medical Analytics
Ibex Medical Analytics is transforming cancer diagnostics with world-leading clinical grade AI-powered solutions for pathology. Empowering physicians and supporting pathologists, Ibex is on a mission to provide accurate, timely and personalized cancer diagnosis for every patient. Ibex is the first and most widely deployed AI-powered platform in pathology. Pathologists worldwide use Ibex as part of their everyday routine to improve the accuracy of cancer diagnosis, implement comprehensive quality control measures, reduce turnaround times, and boost productivity with more efficient workflows.
The Ibex platform includes solutions that are CE-IVD certified and registered with the UK MHRA, TGA in Australia and ANVISA in Brazil. It includes a solution that is FDA cleared and others that are Research Use Only (RUO) in the United States.
Contacts
Tiffany Keenan
Greenough Communications
tkeenan@greenoughagency.com
