Aiosyn lancia una soluzione di rilevamento della mitosi basata sull'IA a supporto della ricerca oncologica che migliora l'efficienza e l'omogeneità dei risultati
Aiosyn lancia una soluzione di rilevamento della mitosi basata sull'IA a supporto della ricerca oncologica che migliora l'efficienza e l'omogeneità dei risultati
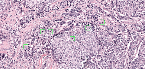
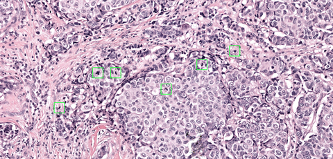
NIMEGA, Paesi Bassi--(BUSINESS WIRE)--Aiosyn, azienda di software medico specializzata nelle soluzioni per la patologia basate sull'intelligenza artificiale, ha rilasciato il suo primo algoritmo IA nella linea di prodotti Mitosis: Aiosyn Mitosis Research. Questo innovativo algoritmo di deep learning è stato progettato per effettuare automaticamente la scansione delle cellule in fase di divisione (mitosi) affiancando i laboratori di patologia di ricerca nel rilevamento della figura mitotica in immagini di vetrini interi da biopsie e resezioni oncologiche. Il secondo algoritmo della linea, Aiosyn Mitosis Breast per uso diagnostico, è attualmente in fase di convalida clinica.
"Siamo entusiasti di presentare Aiosyn Mitosis Research, una soluzione di rilevamento della mitosi basata sull'IA che supporterà i ricercatori oncologici grazie a un innovativo approccio informatico ai biomarcatori basato sull'IA in grado di migliorare l'efficienza e l'omogeneità dei risultati", è il commento di Patrick de Boer, CEO di Aiosyn.
Il testo originale del presente annuncio, redatto nella lingua di partenza, è la versione ufficiale che fa fede. Le traduzioni sono offerte unicamente per comodità del lettore e devono rinviare al testo in lingua originale, che è l'unico giuridicamente valido.
Contacts
Anna Correas, specialista marketing e comunicazioni di Aiosyn
anna.correas@aiosyn.com

