Aiosyn presenta solución con IA para detectar mitosis y facilitar la investigación del cáncer al mejorar la eficiencia y la consistencia de los resultados
Aiosyn presenta solución con IA para detectar mitosis y facilitar la investigación del cáncer al mejorar la eficiencia y la consistencia de los resultados
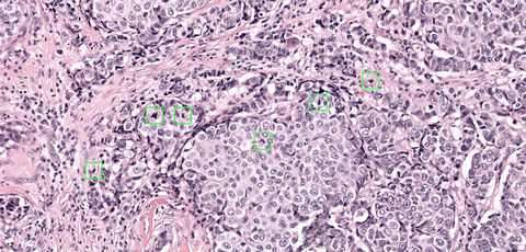
NIMEGA, Países Bajos--(BUSINESS WIRE)--Aiosyn, una empresa de software médico especializada en soluciones con IA para detectar patologías, ha presentado su primer algoritmo de IA en su familia de productos para la mitosis: Aiosyn Mitosis Research. Este novedoso algoritmo de aprendizaje profundo está diseñado para buscar automáticamente células en proceso de división (mitosis) y asistir a los laboratorios de patología de investigación con la detección de las figuras mitóticas en las imágenes de las biopsias y resecciones de cáncer. El segundo algoritmo de la familia, Aiosyn Mitosis Breast para uso diagnóstico, se encuentra actualmente en fase de validación clínica.
"Estamos encantados de presentar Aiosyn Mitosis Research, una solución para detectar las mitosis potenciada por la IA que ayudará a los investigadores del cáncer gracias a una metodología innovadora de biomarcadores computacionales que mejora la eficiencia y la consistencia de los resultados", aseguró Patrick de Boer, director general de Aiosyn.
El comunicado en el idioma original es la versión oficial y autorizada del mismo. Esta traducción es solamente un medio de ayuda y deberá ser comparada con el texto en idioma original, que es la única versión del texto que tendrá validez legal.
Contacts
Anna Correas, especialista en Marketing y comunicaciones de Aiosyn
anna.correas@aiosyn.com

