Aiosyn amplía su solución de control de calidad impulsada por IA para secciones anatomopatológicas digitales que respalda la tinción inmunohistoquímica (IHQ)
Aiosyn amplía su solución de control de calidad impulsada por IA para secciones anatomopatológicas digitales que respalda la tinción inmunohistoquímica (IHQ)
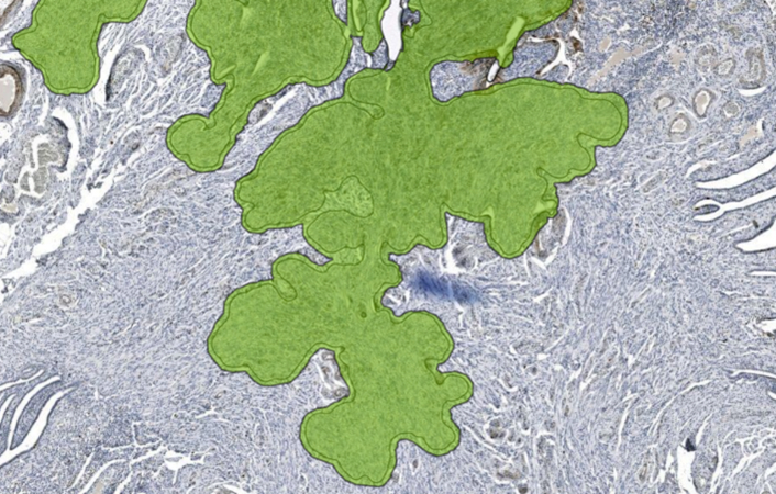
NIJMEGEN, Países Bajos--(BUSINESS WIRE)--Aiosyn, una empresa de software que desarrolla soluciones de patología impulsadas por IA, ha anunciado el último avance en su algoritmo de control de calidad (CC) automatizado. La solución de CC de Aiosyn, AiosynQC, es en la actualidad totalmente compatible con portaobjetos de inmunohistoquímica (IHQ), además de con portaobjetos de hematoxilina y eosina (H&E). Esta actualización amplía las ventajas de AiosynQC y permite a los laboratorios que dependen en gran medida de la tinción IHQ optimizar aún más sus operaciones.
«La inmunohistoquímica es una parte integral de las prácticas anatomopatológicas modernas y nos complace ofrecer una solución impulsada por IA para el control de calidad compatible con la tinción IHQ, que permite a los laboratorios mejorar aún más su flujo de trabajo anatomopatológico», afirma David Tellez, director de Tecnología de Aiosyn.
El comunicado en el idioma original es la versión oficial y autorizada del mismo. Esta traducción es solamente un medio de ayuda y deberá ser comparada con el texto en idioma original, que es la única versión del texto que tendrá validez legal.
Contacts
Anna Correas, Especialista en Marketing y Comunicación de Aiosyn
anna.correas@aiosyn.com

