Ultivue annonce un cycle de financement de 50 millions de dollars
Ultivue annonce un cycle de financement de 50 millions de dollars
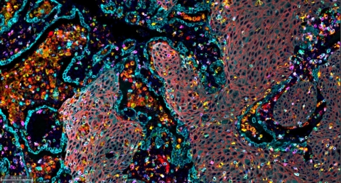
CAMBRIDGE, Massachusetts--(BUSINESS WIRE)--Ultivue, un chef de file des solutions de médecine de précision reposant sur une approche unique associant une analyse multiplexe des biomarqueurs à la coloration H&E traditionnelle pour le phénotypage des tissus, annonce aujourd'hui avoir finalisé un cycle de financement de série D de 50 millions de dollars. Parmi les nouveaux investisseurs figurent Ally Bridge Group, Pura Vida Investments et Tao Capital Partners. Parmi les précédents investisseurs de capital-risque dans Ultivue qui ont également pris part à cette levée de fonds figurent ARCH Ventures, Northpond Ventures et Applied Ventures, LLC.
Ce financement supplémentaire aidera Ultivue à renforcer son positionnement sur le marché, à fournir des solutions innovantes centrées sur la nature dynamique de la biologie tumorale à partir de précieux échantillons tissulaires, et à apporter aux chercheurs et aux pathologistes la capacité de concrétiser le plein potentiel des biomarqueurs tissulaires dans le cadre des flux numériques.
Anna Yaeger, présidente et gestionnaire de portefeuille, déclare: "Ally Bridge Group a le plaisir d'être un partenaire de longue date de Ultivue. Nous pensons que l'approche différenciée et basée sur des kits de la société en matière d'immunofluorescence multiplex la positionne favorablement pour tirer parti de la révolution de la biologie spatiale et crée une flexibilité optimale pour soutenir les clients universitaires, biopharmaceutiques et ORC."
"Ultivue dispose de capacités remarquables. La société fournit des informations rapides, précises et jusque-là inaccessibles au sujet des marqueurs protéiques multiplex à haute résolution, sur du matériel existant. Il est très prometteur de voir Ultivue disposer de solides ressources et d'une équipe de direction expérimentée, ce qui lui permettra de proposer des capacités exceptionnelles à la communauté biotechnologique et pharmaceutique dans le domaine de l'oncologie", déclare Keith Crandell, cofondateur et directeur général d'ARCH Ventures.
"Ultivue s'attèle à faire de l'immunothérapie une réalité pour chaque patient grâce à une technologie de pointe permettant une exploration et une interrogation avancées des échantillons tissulaires pour la recherche en médecine de précision. Nous sommes fiers de continuer à soutenir l'équipe d'Ultivue", déclare Adam Wieschhaus, Ph.D., CFA, directeur chez Northpond Ventures.
"Nous sommes très heureux d'accueillir nos nouveaux investisseurs, et apprécions grandement le soutien renouvelé de nos partenaires d'investissement existants", déclare Jacques Corriveau, président et CEO d'Ultivue. "Ce financement nous permettra de renforcer nos efforts commerciaux, tout en élargissant la portée de notre R&D afin de rester à l'avant-garde de l'innovation et de fournir des informations biologiques éclairées à nos clients, qui travaillent à relever les défis liés aux taux de réponse thérapeutique chez les patients suivant une immunothérapie."
À propos d'Ultivue :
Ultivue propose aux chercheurs et aux scientifiques des analyses multiplexes de biomarqueurs destinées au phénotypage des tissus et à la pathologie numérique. Sa technologie exclusive InSituPlex permet une exploration et une analyse avancées des échantillons de tissus dans le cadre de la recherche médicale de précision. Ces solutions hautement personnalisables et cette approche scientifique consultative renforcent et accélèrent la découverte de biomarqueurs et les programmes de mise au point de médicaments.
Le texte du communiqué issu d’une traduction ne doit d’aucune manière être considéré comme officiel. La seule version du communiqué qui fasse foi est celle du communiqué dans sa langue d’origine. La traduction devra toujours être confrontée au texte source, qui fera jurisprudence.
Contacts
Mark Rees
Ultivue
mark.rees@ultivue.com

