Efficiënte assistentie, YITU AI helpt epidemische preventie en beheersing van de uitbraak van COVID-19
Efficiënte assistentie, YITU AI helpt epidemische preventie en beheersing van de uitbraak van COVID-19
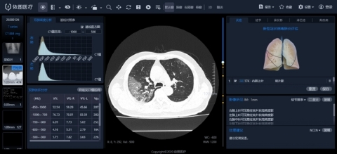
BEIJING--(BUSINESS WIRE)--Op 4 februari publiceerde het Shanghai Public Health Clinical Center, een van de toonaangevende instellingen op het gebied van infectieziekten in China en de kerneenheid voor de behandeling van COVID-19 in Shanghai, het artikel “AI Aids het Wetenschappelijke Preventie en Controle, Intelligente Evaluatiesysteem van CT van de borst voor COVID-19 gelanceerd in het Shanghai Public Health Clinical Center ”op zijn officiële WeChat-platform.
Het artikel kondigde de nieuwste resultaten aan van het gebruik van kunstmatige intelligentietechnologie om artsen te helpen bij het uitvoeren van intelligente kwantitatieve analyse en evaluatie van therapeutische effecten van nieuwe coronaviruslaesies op basis van CT-beelden.
Deze bekendmaking is officieel geldend in de originele brontaal. Vertalingen zijn slechts als leeshulp bedoeld en moeten worden vergeleken met de tekst in de brontaal, die als enige rechtsgeldig is.
Contacts
First Name: Li
Last Name: Kristy
E-mail: media@yitu-tech.com
Phone No.: +86 57731448
