Asistencia eficiente: la IA de YITU ayuda a la prevención y control de la epidemia del brote de COVID-19
Asistencia eficiente: la IA de YITU ayuda a la prevención y control de la epidemia del brote de COVID-19
PEKÍN--(BUSINESS WIRE)--El 4 de febrero, el Centro Clínico de Salud Pública de Shanghái, una de las instituciones autorizadas en el ámbito de las enfermedades infecciosas en China y la unidad central para el tratamiento del COVID-19 en Shanghái, ha publicado el artículo “AI Aids the Scientific Prevention and Control, Intelligent Evaluation System of Chest CT for COVID-19 Launched in Shanghai Public Health Clinical Center” (La AI ayuda al sistema de evaluación inteligente, control y prevención científica de la TC de Tórax para el COVID-19 presentado en el Centro Clínico de Salud Pública de Shanghái) en su plataforma oficial WeChat.
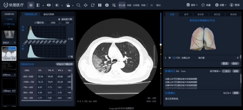
El artículo anunciaba los últimos resultados de su uso de la tecnología de inteligencia artificial para ayudar a los médicos a llevar a cabo un análisis cuantitativo inteligente y la evaluación de los efectos terapéuticos de las nuevas lesiones por coronavirus en base a imágenes de TAC.
"El comunicado en el idioma original, es la versión oficial y autorizada del mismo. La traducción es solamente un medio de ayuda y deberá ser comparada con el texto en idioma original, que es la única versión del texto que tendrá validez legal".
Contacts
First Name: Li
Last Name: Kristy
E-mail: media@yitu-tech.com
Phone No.: +86 57731448
